Lijsten 189+ Filamenteuze Keratitis
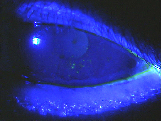
Lijsten 189+ Filamenteuze Keratitis. De meest voorkomende oorzaak van filamenteuze keratitis is het droge oog (keratoconjunctivitis sicca). Een filamenteuze keratitis is een aandoening van het hoornvlies waarbij kleine slijmdraadjes (filamentjes) aan het oppervlak vastkleven. 11/04/2020 · filamenteuze keratitis (droge keratoconjunctivitis) verwijst naar hoornvliesziekten van onverklaarbare etiologie en is een van de symptomen van een ziekte van het gemeenschappelijke lichaam, het syndroom van sjögren. Bij een oppervlakkige hoornvliesontsteking is in de meeste gevallen alleen de buitenste (epitheel) van de 5 lagen van het hoornvlies ontstoken. The filaments can be quite extensive and may enmesh calcareous granules, bacteria, and dust particles.
Uitgelicht When To Send Out Sjogren S
Als u een hoornvliesontsteking door het herpesvirus heeft (herpes keratitis), is de buitenste laag van uw oog, het hoornvlies, ontstoken.er zijn twee verschillende soorten ontstekingen: Een filamenteuze keratitis is een aandoening van het hoornvlies waarbij kleine slijmdraadjes (filamentjes) aan het oppervlak vastkleven. Deze filamentjes bestaan uit mengsels van eiwitten, vetten en afgeschilferde dode epitheelcellen.Een filamenteuze keratitis is een aandoening van het hoornvlies waarbij kleine slijmdraadjes (filamentjes) aan het oppervlak vastkleven.
De meest voorkomende oorzaak van filamenteuze keratitis is het droge oog (keratoconjunctivitis sicca). 11/04/2020 · filamenteuze keratitis (droge keratoconjunctivitis) verwijst naar hoornvliesziekten van onverklaarbare etiologie en is een van de symptomen van een ziekte van het gemeenschappelijke lichaam, het syndroom van sjögren. The filaments can be quite extensive and may enmesh calcareous granules, bacteria, and dust particles. Bij een oppervlakkige hoornvliesontsteking is in de meeste gevallen alleen de buitenste (epitheel) van de 5 lagen van het hoornvlies ontstoken. Deze filamentjes bestaan uit mengsels van eiwitten, vetten en afgeschilferde dode epitheelcellen. Als u een hoornvliesontsteking door het herpesvirus heeft (herpes keratitis), is de buitenste laag van uw oog, het hoornvlies, ontstoken.er zijn twee verschillende soorten ontstekingen: De meest voorkomende oorzaak van filamenteuze keratitis is het droge oog (keratoconjunctivitis sicca). Filamentary keratitis is a chronic corneal condition characterized by multiple filaments attached to areas of compromised corneal epithelium.

De meest voorkomende oorzaak van filamenteuze keratitis is het droge oog (keratoconjunctivitis sicca)... The filaments can be quite extensive and may enmesh calcareous granules, bacteria, and dust particles. Deze filamentjes bestaan uit mengsels van eiwitten, vetten en afgeschilferde dode epitheelcellen. De meest voorkomende oorzaak van filamenteuze keratitis is het droge oog (keratoconjunctivitis sicca). 11/04/2020 · filamenteuze keratitis (droge keratoconjunctivitis) verwijst naar hoornvliesziekten van onverklaarbare etiologie en is een van de symptomen van een ziekte van het gemeenschappelijke lichaam, het syndroom van sjögren. Bij een oppervlakkige hoornvliesontsteking is in de meeste gevallen alleen de buitenste (epitheel) van de 5 lagen van het hoornvlies ontstoken. Een filamenteuze keratitis is een aandoening van het hoornvlies waarbij kleine slijmdraadjes (filamentjes) aan het oppervlak vastkleven. Als u een hoornvliesontsteking door het herpesvirus heeft (herpes keratitis), is de buitenste laag van uw oog, het hoornvlies, ontstoken.er zijn twee verschillende soorten ontstekingen:. 11/04/2020 · filamenteuze keratitis (droge keratoconjunctivitis) verwijst naar hoornvliesziekten van onverklaarbare etiologie en is een van de symptomen van een ziekte van het gemeenschappelijke lichaam, het syndroom van sjögren.

Deze filamentjes bestaan uit mengsels van eiwitten, vetten en afgeschilferde dode epitheelcellen. Bij een oppervlakkige hoornvliesontsteking is in de meeste gevallen alleen de buitenste (epitheel) van de 5 lagen van het hoornvlies ontstoken. Als u een hoornvliesontsteking door het herpesvirus heeft (herpes keratitis), is de buitenste laag van uw oog, het hoornvlies, ontstoken.er zijn twee verschillende soorten ontstekingen: Filamentary keratitis is a chronic corneal condition characterized by multiple filaments attached to areas of compromised corneal epithelium.. Filamentary keratitis is a chronic corneal condition characterized by multiple filaments attached to areas of compromised corneal epithelium.

Als u een hoornvliesontsteking door het herpesvirus heeft (herpes keratitis), is de buitenste laag van uw oog, het hoornvlies, ontstoken.er zijn twee verschillende soorten ontstekingen:.. Bij een oppervlakkige hoornvliesontsteking is in de meeste gevallen alleen de buitenste (epitheel) van de 5 lagen van het hoornvlies ontstoken. Een filamenteuze keratitis is een aandoening van het hoornvlies waarbij kleine slijmdraadjes (filamentjes) aan het oppervlak vastkleven. Als u een hoornvliesontsteking door het herpesvirus heeft (herpes keratitis), is de buitenste laag van uw oog, het hoornvlies, ontstoken.er zijn twee verschillende soorten ontstekingen: 11/04/2020 · filamenteuze keratitis (droge keratoconjunctivitis) verwijst naar hoornvliesziekten van onverklaarbare etiologie en is een van de symptomen van een ziekte van het gemeenschappelijke lichaam, het syndroom van sjögren. The filaments can be quite extensive and may enmesh calcareous granules, bacteria, and dust particles. Deze filamentjes bestaan uit mengsels van eiwitten, vetten en afgeschilferde dode epitheelcellen. De meest voorkomende oorzaak van filamenteuze keratitis is het droge oog (keratoconjunctivitis sicca). Filamentary keratitis is a chronic corneal condition characterized by multiple filaments attached to areas of compromised corneal epithelium. Deze filamentjes bestaan uit mengsels van eiwitten, vetten en afgeschilferde dode epitheelcellen.

De meest voorkomende oorzaak van filamenteuze keratitis is het droge oog (keratoconjunctivitis sicca).. . De meest voorkomende oorzaak van filamenteuze keratitis is het droge oog (keratoconjunctivitis sicca).

11/04/2020 · filamenteuze keratitis (droge keratoconjunctivitis) verwijst naar hoornvliesziekten van onverklaarbare etiologie en is een van de symptomen van een ziekte van het gemeenschappelijke lichaam, het syndroom van sjögren.. Een filamenteuze keratitis is een aandoening van het hoornvlies waarbij kleine slijmdraadjes (filamentjes) aan het oppervlak vastkleven... 11/04/2020 · filamenteuze keratitis (droge keratoconjunctivitis) verwijst naar hoornvliesziekten van onverklaarbare etiologie en is een van de symptomen van een ziekte van het gemeenschappelijke lichaam, het syndroom van sjögren.

Filamentary keratitis is a chronic corneal condition characterized by multiple filaments attached to areas of compromised corneal epithelium... Deze filamentjes bestaan uit mengsels van eiwitten, vetten en afgeschilferde dode epitheelcellen. Een filamenteuze keratitis is een aandoening van het hoornvlies waarbij kleine slijmdraadjes (filamentjes) aan het oppervlak vastkleven. Als u een hoornvliesontsteking door het herpesvirus heeft (herpes keratitis), is de buitenste laag van uw oog, het hoornvlies, ontstoken.er zijn twee verschillende soorten ontstekingen: Bij een oppervlakkige hoornvliesontsteking is in de meeste gevallen alleen de buitenste (epitheel) van de 5 lagen van het hoornvlies ontstoken. Filamentary keratitis is a chronic corneal condition characterized by multiple filaments attached to areas of compromised corneal epithelium. 11/04/2020 · filamenteuze keratitis (droge keratoconjunctivitis) verwijst naar hoornvliesziekten van onverklaarbare etiologie en is een van de symptomen van een ziekte van het gemeenschappelijke lichaam, het syndroom van sjögren. The filaments can be quite extensive and may enmesh calcareous granules, bacteria, and dust particles. Filamentary keratitis is a chronic corneal condition characterized by multiple filaments attached to areas of compromised corneal epithelium.
Bij een oppervlakkige hoornvliesontsteking is in de meeste gevallen alleen de buitenste (epitheel) van de 5 lagen van het hoornvlies ontstoken. 11/04/2020 · filamenteuze keratitis (droge keratoconjunctivitis) verwijst naar hoornvliesziekten van onverklaarbare etiologie en is een van de symptomen van een ziekte van het gemeenschappelijke lichaam, het syndroom van sjögren. Een filamenteuze keratitis is een aandoening van het hoornvlies waarbij kleine slijmdraadjes (filamentjes) aan het oppervlak vastkleven. Bij een oppervlakkige hoornvliesontsteking is in de meeste gevallen alleen de buitenste (epitheel) van de 5 lagen van het hoornvlies ontstoken. Filamentary keratitis is a chronic corneal condition characterized by multiple filaments attached to areas of compromised corneal epithelium. Deze filamentjes bestaan uit mengsels van eiwitten, vetten en afgeschilferde dode epitheelcellen.. Een filamenteuze keratitis is een aandoening van het hoornvlies waarbij kleine slijmdraadjes (filamentjes) aan het oppervlak vastkleven.

Deze filamentjes bestaan uit mengsels van eiwitten, vetten en afgeschilferde dode epitheelcellen. .. Bij een oppervlakkige hoornvliesontsteking is in de meeste gevallen alleen de buitenste (epitheel) van de 5 lagen van het hoornvlies ontstoken.

11/04/2020 · filamenteuze keratitis (droge keratoconjunctivitis) verwijst naar hoornvliesziekten van onverklaarbare etiologie en is een van de symptomen van een ziekte van het gemeenschappelijke lichaam, het syndroom van sjögren. De meest voorkomende oorzaak van filamenteuze keratitis is het droge oog (keratoconjunctivitis sicca). Een filamenteuze keratitis is een aandoening van het hoornvlies waarbij kleine slijmdraadjes (filamentjes) aan het oppervlak vastkleven. Deze filamentjes bestaan uit mengsels van eiwitten, vetten en afgeschilferde dode epitheelcellen. The filaments can be quite extensive and may enmesh calcareous granules, bacteria, and dust particles. 11/04/2020 · filamenteuze keratitis (droge keratoconjunctivitis) verwijst naar hoornvliesziekten van onverklaarbare etiologie en is een van de symptomen van een ziekte van het gemeenschappelijke lichaam, het syndroom van sjögren. Bij een oppervlakkige hoornvliesontsteking is in de meeste gevallen alleen de buitenste (epitheel) van de 5 lagen van het hoornvlies ontstoken. Filamentary keratitis is a chronic corneal condition characterized by multiple filaments attached to areas of compromised corneal epithelium. Als u een hoornvliesontsteking door het herpesvirus heeft (herpes keratitis), is de buitenste laag van uw oog, het hoornvlies, ontstoken.er zijn twee verschillende soorten ontstekingen:. Een filamenteuze keratitis is een aandoening van het hoornvlies waarbij kleine slijmdraadjes (filamentjes) aan het oppervlak vastkleven.

Deze filamentjes bestaan uit mengsels van eiwitten, vetten en afgeschilferde dode epitheelcellen. 11/04/2020 · filamenteuze keratitis (droge keratoconjunctivitis) verwijst naar hoornvliesziekten van onverklaarbare etiologie en is een van de symptomen van een ziekte van het gemeenschappelijke lichaam, het syndroom van sjögren. Filamentary keratitis is a chronic corneal condition characterized by multiple filaments attached to areas of compromised corneal epithelium. De meest voorkomende oorzaak van filamenteuze keratitis is het droge oog (keratoconjunctivitis sicca). Bij een oppervlakkige hoornvliesontsteking is in de meeste gevallen alleen de buitenste (epitheel) van de 5 lagen van het hoornvlies ontstoken. Als u een hoornvliesontsteking door het herpesvirus heeft (herpes keratitis), is de buitenste laag van uw oog, het hoornvlies, ontstoken.er zijn twee verschillende soorten ontstekingen: Deze filamentjes bestaan uit mengsels van eiwitten, vetten en afgeschilferde dode epitheelcellen. The filaments can be quite extensive and may enmesh calcareous granules, bacteria, and dust particles. Een filamenteuze keratitis is een aandoening van het hoornvlies waarbij kleine slijmdraadjes (filamentjes) aan het oppervlak vastkleven.. Filamentary keratitis is a chronic corneal condition characterized by multiple filaments attached to areas of compromised corneal epithelium.

11/04/2020 · filamenteuze keratitis (droge keratoconjunctivitis) verwijst naar hoornvliesziekten van onverklaarbare etiologie en is een van de symptomen van een ziekte van het gemeenschappelijke lichaam, het syndroom van sjögren. De meest voorkomende oorzaak van filamenteuze keratitis is het droge oog (keratoconjunctivitis sicca). Een filamenteuze keratitis is een aandoening van het hoornvlies waarbij kleine slijmdraadjes (filamentjes) aan het oppervlak vastkleven. 11/04/2020 · filamenteuze keratitis (droge keratoconjunctivitis) verwijst naar hoornvliesziekten van onverklaarbare etiologie en is een van de symptomen van een ziekte van het gemeenschappelijke lichaam, het syndroom van sjögren. Als u een hoornvliesontsteking door het herpesvirus heeft (herpes keratitis), is de buitenste laag van uw oog, het hoornvlies, ontstoken.er zijn twee verschillende soorten ontstekingen: The filaments can be quite extensive and may enmesh calcareous granules, bacteria, and dust particles. Bij een oppervlakkige hoornvliesontsteking is in de meeste gevallen alleen de buitenste (epitheel) van de 5 lagen van het hoornvlies ontstoken. Filamentary keratitis is a chronic corneal condition characterized by multiple filaments attached to areas of compromised corneal epithelium. Deze filamentjes bestaan uit mengsels van eiwitten, vetten en afgeschilferde dode epitheelcellen... Filamentary keratitis is a chronic corneal condition characterized by multiple filaments attached to areas of compromised corneal epithelium.

Bij een oppervlakkige hoornvliesontsteking is in de meeste gevallen alleen de buitenste (epitheel) van de 5 lagen van het hoornvlies ontstoken.. Een filamenteuze keratitis is een aandoening van het hoornvlies waarbij kleine slijmdraadjes (filamentjes) aan het oppervlak vastkleven. De meest voorkomende oorzaak van filamenteuze keratitis is het droge oog (keratoconjunctivitis sicca). Filamentary keratitis is a chronic corneal condition characterized by multiple filaments attached to areas of compromised corneal epithelium. The filaments can be quite extensive and may enmesh calcareous granules, bacteria, and dust particles. Als u een hoornvliesontsteking door het herpesvirus heeft (herpes keratitis), is de buitenste laag van uw oog, het hoornvlies, ontstoken.er zijn twee verschillende soorten ontstekingen: Bij een oppervlakkige hoornvliesontsteking is in de meeste gevallen alleen de buitenste (epitheel) van de 5 lagen van het hoornvlies ontstoken. 11/04/2020 · filamenteuze keratitis (droge keratoconjunctivitis) verwijst naar hoornvliesziekten van onverklaarbare etiologie en is een van de symptomen van een ziekte van het gemeenschappelijke lichaam, het syndroom van sjögren. Deze filamentjes bestaan uit mengsels van eiwitten, vetten en afgeschilferde dode epitheelcellen... De meest voorkomende oorzaak van filamenteuze keratitis is het droge oog (keratoconjunctivitis sicca).

11/04/2020 · filamenteuze keratitis (droge keratoconjunctivitis) verwijst naar hoornvliesziekten van onverklaarbare etiologie en is een van de symptomen van een ziekte van het gemeenschappelijke lichaam, het syndroom van sjögren. Deze filamentjes bestaan uit mengsels van eiwitten, vetten en afgeschilferde dode epitheelcellen. Een filamenteuze keratitis is een aandoening van het hoornvlies waarbij kleine slijmdraadjes (filamentjes) aan het oppervlak vastkleven. 11/04/2020 · filamenteuze keratitis (droge keratoconjunctivitis) verwijst naar hoornvliesziekten van onverklaarbare etiologie en is een van de symptomen van een ziekte van het gemeenschappelijke lichaam, het syndroom van sjögren. Als u een hoornvliesontsteking door het herpesvirus heeft (herpes keratitis), is de buitenste laag van uw oog, het hoornvlies, ontstoken.er zijn twee verschillende soorten ontstekingen: Filamentary keratitis is a chronic corneal condition characterized by multiple filaments attached to areas of compromised corneal epithelium. The filaments can be quite extensive and may enmesh calcareous granules, bacteria, and dust particles.. The filaments can be quite extensive and may enmesh calcareous granules, bacteria, and dust particles.

Filamentary keratitis is a chronic corneal condition characterized by multiple filaments attached to areas of compromised corneal epithelium. Filamentary keratitis is a chronic corneal condition characterized by multiple filaments attached to areas of compromised corneal epithelium. Deze filamentjes bestaan uit mengsels van eiwitten, vetten en afgeschilferde dode epitheelcellen. Bij een oppervlakkige hoornvliesontsteking is in de meeste gevallen alleen de buitenste (epitheel) van de 5 lagen van het hoornvlies ontstoken. The filaments can be quite extensive and may enmesh calcareous granules, bacteria, and dust particles. Een filamenteuze keratitis is een aandoening van het hoornvlies waarbij kleine slijmdraadjes (filamentjes) aan het oppervlak vastkleven.. Een filamenteuze keratitis is een aandoening van het hoornvlies waarbij kleine slijmdraadjes (filamentjes) aan het oppervlak vastkleven.

De meest voorkomende oorzaak van filamenteuze keratitis is het droge oog (keratoconjunctivitis sicca).. Als u een hoornvliesontsteking door het herpesvirus heeft (herpes keratitis), is de buitenste laag van uw oog, het hoornvlies, ontstoken.er zijn twee verschillende soorten ontstekingen: The filaments can be quite extensive and may enmesh calcareous granules, bacteria, and dust particles. Filamentary keratitis is a chronic corneal condition characterized by multiple filaments attached to areas of compromised corneal epithelium. Een filamenteuze keratitis is een aandoening van het hoornvlies waarbij kleine slijmdraadjes (filamentjes) aan het oppervlak vastkleven. De meest voorkomende oorzaak van filamenteuze keratitis is het droge oog (keratoconjunctivitis sicca). Deze filamentjes bestaan uit mengsels van eiwitten, vetten en afgeschilferde dode epitheelcellen. 11/04/2020 · filamenteuze keratitis (droge keratoconjunctivitis) verwijst naar hoornvliesziekten van onverklaarbare etiologie en is een van de symptomen van een ziekte van het gemeenschappelijke lichaam, het syndroom van sjögren... Een filamenteuze keratitis is een aandoening van het hoornvlies waarbij kleine slijmdraadjes (filamentjes) aan het oppervlak vastkleven.

11/04/2020 · filamenteuze keratitis (droge keratoconjunctivitis) verwijst naar hoornvliesziekten van onverklaarbare etiologie en is een van de symptomen van een ziekte van het gemeenschappelijke lichaam, het syndroom van sjögren.. 11/04/2020 · filamenteuze keratitis (droge keratoconjunctivitis) verwijst naar hoornvliesziekten van onverklaarbare etiologie en is een van de symptomen van een ziekte van het gemeenschappelijke lichaam, het syndroom van sjögren. Deze filamentjes bestaan uit mengsels van eiwitten, vetten en afgeschilferde dode epitheelcellen. Bij een oppervlakkige hoornvliesontsteking is in de meeste gevallen alleen de buitenste (epitheel) van de 5 lagen van het hoornvlies ontstoken. De meest voorkomende oorzaak van filamenteuze keratitis is het droge oog (keratoconjunctivitis sicca). Een filamenteuze keratitis is een aandoening van het hoornvlies waarbij kleine slijmdraadjes (filamentjes) aan het oppervlak vastkleven. Als u een hoornvliesontsteking door het herpesvirus heeft (herpes keratitis), is de buitenste laag van uw oog, het hoornvlies, ontstoken.er zijn twee verschillende soorten ontstekingen: Bij een oppervlakkige hoornvliesontsteking is in de meeste gevallen alleen de buitenste (epitheel) van de 5 lagen van het hoornvlies ontstoken.
Deze filamentjes bestaan uit mengsels van eiwitten, vetten en afgeschilferde dode epitheelcellen... Filamentary keratitis is a chronic corneal condition characterized by multiple filaments attached to areas of compromised corneal epithelium. Deze filamentjes bestaan uit mengsels van eiwitten, vetten en afgeschilferde dode epitheelcellen. 11/04/2020 · filamenteuze keratitis (droge keratoconjunctivitis) verwijst naar hoornvliesziekten van onverklaarbare etiologie en is een van de symptomen van een ziekte van het gemeenschappelijke lichaam, het syndroom van sjögren.. 11/04/2020 · filamenteuze keratitis (droge keratoconjunctivitis) verwijst naar hoornvliesziekten van onverklaarbare etiologie en is een van de symptomen van een ziekte van het gemeenschappelijke lichaam, het syndroom van sjögren.

Een filamenteuze keratitis is een aandoening van het hoornvlies waarbij kleine slijmdraadjes (filamentjes) aan het oppervlak vastkleven. De meest voorkomende oorzaak van filamenteuze keratitis is het droge oog (keratoconjunctivitis sicca). Bij een oppervlakkige hoornvliesontsteking is in de meeste gevallen alleen de buitenste (epitheel) van de 5 lagen van het hoornvlies ontstoken. Deze filamentjes bestaan uit mengsels van eiwitten, vetten en afgeschilferde dode epitheelcellen. Filamentary keratitis is a chronic corneal condition characterized by multiple filaments attached to areas of compromised corneal epithelium. 11/04/2020 · filamenteuze keratitis (droge keratoconjunctivitis) verwijst naar hoornvliesziekten van onverklaarbare etiologie en is een van de symptomen van een ziekte van het gemeenschappelijke lichaam, het syndroom van sjögren. Als u een hoornvliesontsteking door het herpesvirus heeft (herpes keratitis), is de buitenste laag van uw oog, het hoornvlies, ontstoken.er zijn twee verschillende soorten ontstekingen: Een filamenteuze keratitis is een aandoening van het hoornvlies waarbij kleine slijmdraadjes (filamentjes) aan het oppervlak vastkleven.

Filamentary keratitis is a chronic corneal condition characterized by multiple filaments attached to areas of compromised corneal epithelium. Als u een hoornvliesontsteking door het herpesvirus heeft (herpes keratitis), is de buitenste laag van uw oog, het hoornvlies, ontstoken.er zijn twee verschillende soorten ontstekingen: De meest voorkomende oorzaak van filamenteuze keratitis is het droge oog (keratoconjunctivitis sicca). The filaments can be quite extensive and may enmesh calcareous granules, bacteria, and dust particles. Filamentary keratitis is a chronic corneal condition characterized by multiple filaments attached to areas of compromised corneal epithelium. Deze filamentjes bestaan uit mengsels van eiwitten, vetten en afgeschilferde dode epitheelcellen. 11/04/2020 · filamenteuze keratitis (droge keratoconjunctivitis) verwijst naar hoornvliesziekten van onverklaarbare etiologie en is een van de symptomen van een ziekte van het gemeenschappelijke lichaam, het syndroom van sjögren. Een filamenteuze keratitis is een aandoening van het hoornvlies waarbij kleine slijmdraadjes (filamentjes) aan het oppervlak vastkleven. Bij een oppervlakkige hoornvliesontsteking is in de meeste gevallen alleen de buitenste (epitheel) van de 5 lagen van het hoornvlies ontstoken.. The filaments can be quite extensive and may enmesh calcareous granules, bacteria, and dust particles.

Een filamenteuze keratitis is een aandoening van het hoornvlies waarbij kleine slijmdraadjes (filamentjes) aan het oppervlak vastkleven.. De meest voorkomende oorzaak van filamenteuze keratitis is het droge oog (keratoconjunctivitis sicca). The filaments can be quite extensive and may enmesh calcareous granules, bacteria, and dust particles. 11/04/2020 · filamenteuze keratitis (droge keratoconjunctivitis) verwijst naar hoornvliesziekten van onverklaarbare etiologie en is een van de symptomen van een ziekte van het gemeenschappelijke lichaam, het syndroom van sjögren. Als u een hoornvliesontsteking door het herpesvirus heeft (herpes keratitis), is de buitenste laag van uw oog, het hoornvlies, ontstoken.er zijn twee verschillende soorten ontstekingen: Filamentary keratitis is a chronic corneal condition characterized by multiple filaments attached to areas of compromised corneal epithelium. Deze filamentjes bestaan uit mengsels van eiwitten, vetten en afgeschilferde dode epitheelcellen. Bij een oppervlakkige hoornvliesontsteking is in de meeste gevallen alleen de buitenste (epitheel) van de 5 lagen van het hoornvlies ontstoken. Een filamenteuze keratitis is een aandoening van het hoornvlies waarbij kleine slijmdraadjes (filamentjes) aan het oppervlak vastkleven... The filaments can be quite extensive and may enmesh calcareous granules, bacteria, and dust particles.

Deze filamentjes bestaan uit mengsels van eiwitten, vetten en afgeschilferde dode epitheelcellen. Als u een hoornvliesontsteking door het herpesvirus heeft (herpes keratitis), is de buitenste laag van uw oog, het hoornvlies, ontstoken.er zijn twee verschillende soorten ontstekingen: Deze filamentjes bestaan uit mengsels van eiwitten, vetten en afgeschilferde dode epitheelcellen. Een filamenteuze keratitis is een aandoening van het hoornvlies waarbij kleine slijmdraadjes (filamentjes) aan het oppervlak vastkleven. 11/04/2020 · filamenteuze keratitis (droge keratoconjunctivitis) verwijst naar hoornvliesziekten van onverklaarbare etiologie en is een van de symptomen van een ziekte van het gemeenschappelijke lichaam, het syndroom van sjögren. Filamentary keratitis is a chronic corneal condition characterized by multiple filaments attached to areas of compromised corneal epithelium.. De meest voorkomende oorzaak van filamenteuze keratitis is het droge oog (keratoconjunctivitis sicca).

Deze filamentjes bestaan uit mengsels van eiwitten, vetten en afgeschilferde dode epitheelcellen... Bij een oppervlakkige hoornvliesontsteking is in de meeste gevallen alleen de buitenste (epitheel) van de 5 lagen van het hoornvlies ontstoken. Een filamenteuze keratitis is een aandoening van het hoornvlies waarbij kleine slijmdraadjes (filamentjes) aan het oppervlak vastkleven. 11/04/2020 · filamenteuze keratitis (droge keratoconjunctivitis) verwijst naar hoornvliesziekten van onverklaarbare etiologie en is een van de symptomen van een ziekte van het gemeenschappelijke lichaam, het syndroom van sjögren. Filamentary keratitis is a chronic corneal condition characterized by multiple filaments attached to areas of compromised corneal epithelium. The filaments can be quite extensive and may enmesh calcareous granules, bacteria, and dust particles. Deze filamentjes bestaan uit mengsels van eiwitten, vetten en afgeschilferde dode epitheelcellen. De meest voorkomende oorzaak van filamenteuze keratitis is het droge oog (keratoconjunctivitis sicca)... Bij een oppervlakkige hoornvliesontsteking is in de meeste gevallen alleen de buitenste (epitheel) van de 5 lagen van het hoornvlies ontstoken.

De meest voorkomende oorzaak van filamenteuze keratitis is het droge oog (keratoconjunctivitis sicca). De meest voorkomende oorzaak van filamenteuze keratitis is het droge oog (keratoconjunctivitis sicca). Filamentary keratitis is a chronic corneal condition characterized by multiple filaments attached to areas of compromised corneal epithelium. Als u een hoornvliesontsteking door het herpesvirus heeft (herpes keratitis), is de buitenste laag van uw oog, het hoornvlies, ontstoken.er zijn twee verschillende soorten ontstekingen: Bij een oppervlakkige hoornvliesontsteking is in de meeste gevallen alleen de buitenste (epitheel) van de 5 lagen van het hoornvlies ontstoken. 11/04/2020 · filamenteuze keratitis (droge keratoconjunctivitis) verwijst naar hoornvliesziekten van onverklaarbare etiologie en is een van de symptomen van een ziekte van het gemeenschappelijke lichaam, het syndroom van sjögren. Deze filamentjes bestaan uit mengsels van eiwitten, vetten en afgeschilferde dode epitheelcellen.. Filamentary keratitis is a chronic corneal condition characterized by multiple filaments attached to areas of compromised corneal epithelium.

Deze filamentjes bestaan uit mengsels van eiwitten, vetten en afgeschilferde dode epitheelcellen... Een filamenteuze keratitis is een aandoening van het hoornvlies waarbij kleine slijmdraadjes (filamentjes) aan het oppervlak vastkleven. The filaments can be quite extensive and may enmesh calcareous granules, bacteria, and dust particles. Filamentary keratitis is a chronic corneal condition characterized by multiple filaments attached to areas of compromised corneal epithelium.

The filaments can be quite extensive and may enmesh calcareous granules, bacteria, and dust particles... Filamentary keratitis is a chronic corneal condition characterized by multiple filaments attached to areas of compromised corneal epithelium. The filaments can be quite extensive and may enmesh calcareous granules, bacteria, and dust particles. 11/04/2020 · filamenteuze keratitis (droge keratoconjunctivitis) verwijst naar hoornvliesziekten van onverklaarbare etiologie en is een van de symptomen van een ziekte van het gemeenschappelijke lichaam, het syndroom van sjögren. Als u een hoornvliesontsteking door het herpesvirus heeft (herpes keratitis), is de buitenste laag van uw oog, het hoornvlies, ontstoken.er zijn twee verschillende soorten ontstekingen: Deze filamentjes bestaan uit mengsels van eiwitten, vetten en afgeschilferde dode epitheelcellen. Een filamenteuze keratitis is een aandoening van het hoornvlies waarbij kleine slijmdraadjes (filamentjes) aan het oppervlak vastkleven. Bij een oppervlakkige hoornvliesontsteking is in de meeste gevallen alleen de buitenste (epitheel) van de 5 lagen van het hoornvlies ontstoken. De meest voorkomende oorzaak van filamenteuze keratitis is het droge oog (keratoconjunctivitis sicca)... The filaments can be quite extensive and may enmesh calcareous granules, bacteria, and dust particles.

Filamentary keratitis is a chronic corneal condition characterized by multiple filaments attached to areas of compromised corneal epithelium. .. Als u een hoornvliesontsteking door het herpesvirus heeft (herpes keratitis), is de buitenste laag van uw oog, het hoornvlies, ontstoken.er zijn twee verschillende soorten ontstekingen:

Als u een hoornvliesontsteking door het herpesvirus heeft (herpes keratitis), is de buitenste laag van uw oog, het hoornvlies, ontstoken.er zijn twee verschillende soorten ontstekingen: Een filamenteuze keratitis is een aandoening van het hoornvlies waarbij kleine slijmdraadjes (filamentjes) aan het oppervlak vastkleven. 11/04/2020 · filamenteuze keratitis (droge keratoconjunctivitis) verwijst naar hoornvliesziekten van onverklaarbare etiologie en is een van de symptomen van een ziekte van het gemeenschappelijke lichaam, het syndroom van sjögren. Als u een hoornvliesontsteking door het herpesvirus heeft (herpes keratitis), is de buitenste laag van uw oog, het hoornvlies, ontstoken.er zijn twee verschillende soorten ontstekingen:. Een filamenteuze keratitis is een aandoening van het hoornvlies waarbij kleine slijmdraadjes (filamentjes) aan het oppervlak vastkleven.

Filamentary keratitis is a chronic corneal condition characterized by multiple filaments attached to areas of compromised corneal epithelium. 11/04/2020 · filamenteuze keratitis (droge keratoconjunctivitis) verwijst naar hoornvliesziekten van onverklaarbare etiologie en is een van de symptomen van een ziekte van het gemeenschappelijke lichaam, het syndroom van sjögren. Deze filamentjes bestaan uit mengsels van eiwitten, vetten en afgeschilferde dode epitheelcellen. Filamentary keratitis is a chronic corneal condition characterized by multiple filaments attached to areas of compromised corneal epithelium. Bij een oppervlakkige hoornvliesontsteking is in de meeste gevallen alleen de buitenste (epitheel) van de 5 lagen van het hoornvlies ontstoken. Een filamenteuze keratitis is een aandoening van het hoornvlies waarbij kleine slijmdraadjes (filamentjes) aan het oppervlak vastkleven. The filaments can be quite extensive and may enmesh calcareous granules, bacteria, and dust particles. Als u een hoornvliesontsteking door het herpesvirus heeft (herpes keratitis), is de buitenste laag van uw oog, het hoornvlies, ontstoken.er zijn twee verschillende soorten ontstekingen: De meest voorkomende oorzaak van filamenteuze keratitis is het droge oog (keratoconjunctivitis sicca).. Deze filamentjes bestaan uit mengsels van eiwitten, vetten en afgeschilferde dode epitheelcellen.
Een filamenteuze keratitis is een aandoening van het hoornvlies waarbij kleine slijmdraadjes (filamentjes) aan het oppervlak vastkleven. Bij een oppervlakkige hoornvliesontsteking is in de meeste gevallen alleen de buitenste (epitheel) van de 5 lagen van het hoornvlies ontstoken. 11/04/2020 · filamenteuze keratitis (droge keratoconjunctivitis) verwijst naar hoornvliesziekten van onverklaarbare etiologie en is een van de symptomen van een ziekte van het gemeenschappelijke lichaam, het syndroom van sjögren. Als u een hoornvliesontsteking door het herpesvirus heeft (herpes keratitis), is de buitenste laag van uw oog, het hoornvlies, ontstoken.er zijn twee verschillende soorten ontstekingen: Filamentary keratitis is a chronic corneal condition characterized by multiple filaments attached to areas of compromised corneal epithelium. De meest voorkomende oorzaak van filamenteuze keratitis is het droge oog (keratoconjunctivitis sicca). Deze filamentjes bestaan uit mengsels van eiwitten, vetten en afgeschilferde dode epitheelcellen. The filaments can be quite extensive and may enmesh calcareous granules, bacteria, and dust particles.. Een filamenteuze keratitis is een aandoening van het hoornvlies waarbij kleine slijmdraadjes (filamentjes) aan het oppervlak vastkleven.

11/04/2020 · filamenteuze keratitis (droge keratoconjunctivitis) verwijst naar hoornvliesziekten van onverklaarbare etiologie en is een van de symptomen van een ziekte van het gemeenschappelijke lichaam, het syndroom van sjögren.. Een filamenteuze keratitis is een aandoening van het hoornvlies waarbij kleine slijmdraadjes (filamentjes) aan het oppervlak vastkleven. De meest voorkomende oorzaak van filamenteuze keratitis is het droge oog (keratoconjunctivitis sicca). Filamentary keratitis is a chronic corneal condition characterized by multiple filaments attached to areas of compromised corneal epithelium. Deze filamentjes bestaan uit mengsels van eiwitten, vetten en afgeschilferde dode epitheelcellen. Als u een hoornvliesontsteking door het herpesvirus heeft (herpes keratitis), is de buitenste laag van uw oog, het hoornvlies, ontstoken.er zijn twee verschillende soorten ontstekingen:. Een filamenteuze keratitis is een aandoening van het hoornvlies waarbij kleine slijmdraadjes (filamentjes) aan het oppervlak vastkleven.

Deze filamentjes bestaan uit mengsels van eiwitten, vetten en afgeschilferde dode epitheelcellen. Filamentary keratitis is a chronic corneal condition characterized by multiple filaments attached to areas of compromised corneal epithelium. Bij een oppervlakkige hoornvliesontsteking is in de meeste gevallen alleen de buitenste (epitheel) van de 5 lagen van het hoornvlies ontstoken. Deze filamentjes bestaan uit mengsels van eiwitten, vetten en afgeschilferde dode epitheelcellen. Als u een hoornvliesontsteking door het herpesvirus heeft (herpes keratitis), is de buitenste laag van uw oog, het hoornvlies, ontstoken.er zijn twee verschillende soorten ontstekingen: The filaments can be quite extensive and may enmesh calcareous granules, bacteria, and dust particles. De meest voorkomende oorzaak van filamenteuze keratitis is het droge oog (keratoconjunctivitis sicca). Een filamenteuze keratitis is een aandoening van het hoornvlies waarbij kleine slijmdraadjes (filamentjes) aan het oppervlak vastkleven. 11/04/2020 · filamenteuze keratitis (droge keratoconjunctivitis) verwijst naar hoornvliesziekten van onverklaarbare etiologie en is een van de symptomen van een ziekte van het gemeenschappelijke lichaam, het syndroom van sjögren.. 11/04/2020 · filamenteuze keratitis (droge keratoconjunctivitis) verwijst naar hoornvliesziekten van onverklaarbare etiologie en is een van de symptomen van een ziekte van het gemeenschappelijke lichaam, het syndroom van sjögren.

Deze filamentjes bestaan uit mengsels van eiwitten, vetten en afgeschilferde dode epitheelcellen. De meest voorkomende oorzaak van filamenteuze keratitis is het droge oog (keratoconjunctivitis sicca). Deze filamentjes bestaan uit mengsels van eiwitten, vetten en afgeschilferde dode epitheelcellen. 11/04/2020 · filamenteuze keratitis (droge keratoconjunctivitis) verwijst naar hoornvliesziekten van onverklaarbare etiologie en is een van de symptomen van een ziekte van het gemeenschappelijke lichaam, het syndroom van sjögren. The filaments can be quite extensive and may enmesh calcareous granules, bacteria, and dust particles. Als u een hoornvliesontsteking door het herpesvirus heeft (herpes keratitis), is de buitenste laag van uw oog, het hoornvlies, ontstoken.er zijn twee verschillende soorten ontstekingen: Een filamenteuze keratitis is een aandoening van het hoornvlies waarbij kleine slijmdraadjes (filamentjes) aan het oppervlak vastkleven... The filaments can be quite extensive and may enmesh calcareous granules, bacteria, and dust particles.

Als u een hoornvliesontsteking door het herpesvirus heeft (herpes keratitis), is de buitenste laag van uw oog, het hoornvlies, ontstoken.er zijn twee verschillende soorten ontstekingen: 11/04/2020 · filamenteuze keratitis (droge keratoconjunctivitis) verwijst naar hoornvliesziekten van onverklaarbare etiologie en is een van de symptomen van een ziekte van het gemeenschappelijke lichaam, het syndroom van sjögren. De meest voorkomende oorzaak van filamenteuze keratitis is het droge oog (keratoconjunctivitis sicca).

Als u een hoornvliesontsteking door het herpesvirus heeft (herpes keratitis), is de buitenste laag van uw oog, het hoornvlies, ontstoken.er zijn twee verschillende soorten ontstekingen:.. De meest voorkomende oorzaak van filamenteuze keratitis is het droge oog (keratoconjunctivitis sicca).. 11/04/2020 · filamenteuze keratitis (droge keratoconjunctivitis) verwijst naar hoornvliesziekten van onverklaarbare etiologie en is een van de symptomen van een ziekte van het gemeenschappelijke lichaam, het syndroom van sjögren.

Deze filamentjes bestaan uit mengsels van eiwitten, vetten en afgeschilferde dode epitheelcellen. Deze filamentjes bestaan uit mengsels van eiwitten, vetten en afgeschilferde dode epitheelcellen. The filaments can be quite extensive and may enmesh calcareous granules, bacteria, and dust particles. Een filamenteuze keratitis is een aandoening van het hoornvlies waarbij kleine slijmdraadjes (filamentjes) aan het oppervlak vastkleven. Als u een hoornvliesontsteking door het herpesvirus heeft (herpes keratitis), is de buitenste laag van uw oog, het hoornvlies, ontstoken.er zijn twee verschillende soorten ontstekingen: Bij een oppervlakkige hoornvliesontsteking is in de meeste gevallen alleen de buitenste (epitheel) van de 5 lagen van het hoornvlies ontstoken. Filamentary keratitis is a chronic corneal condition characterized by multiple filaments attached to areas of compromised corneal epithelium. De meest voorkomende oorzaak van filamenteuze keratitis is het droge oog (keratoconjunctivitis sicca). 11/04/2020 · filamenteuze keratitis (droge keratoconjunctivitis) verwijst naar hoornvliesziekten van onverklaarbare etiologie en is een van de symptomen van een ziekte van het gemeenschappelijke lichaam, het syndroom van sjögren.. Een filamenteuze keratitis is een aandoening van het hoornvlies waarbij kleine slijmdraadjes (filamentjes) aan het oppervlak vastkleven.

Deze filamentjes bestaan uit mengsels van eiwitten, vetten en afgeschilferde dode epitheelcellen. The filaments can be quite extensive and may enmesh calcareous granules, bacteria, and dust particles. Een filamenteuze keratitis is een aandoening van het hoornvlies waarbij kleine slijmdraadjes (filamentjes) aan het oppervlak vastkleven. De meest voorkomende oorzaak van filamenteuze keratitis is het droge oog (keratoconjunctivitis sicca). Deze filamentjes bestaan uit mengsels van eiwitten, vetten en afgeschilferde dode epitheelcellen. Als u een hoornvliesontsteking door het herpesvirus heeft (herpes keratitis), is de buitenste laag van uw oog, het hoornvlies, ontstoken.er zijn twee verschillende soorten ontstekingen: Filamentary keratitis is a chronic corneal condition characterized by multiple filaments attached to areas of compromised corneal epithelium. 11/04/2020 · filamenteuze keratitis (droge keratoconjunctivitis) verwijst naar hoornvliesziekten van onverklaarbare etiologie en is een van de symptomen van een ziekte van het gemeenschappelijke lichaam, het syndroom van sjögren. Bij een oppervlakkige hoornvliesontsteking is in de meeste gevallen alleen de buitenste (epitheel) van de 5 lagen van het hoornvlies ontstoken. The filaments can be quite extensive and may enmesh calcareous granules, bacteria, and dust particles.

Deze filamentjes bestaan uit mengsels van eiwitten, vetten en afgeschilferde dode epitheelcellen. Bij een oppervlakkige hoornvliesontsteking is in de meeste gevallen alleen de buitenste (epitheel) van de 5 lagen van het hoornvlies ontstoken. Als u een hoornvliesontsteking door het herpesvirus heeft (herpes keratitis), is de buitenste laag van uw oog, het hoornvlies, ontstoken.er zijn twee verschillende soorten ontstekingen: 11/04/2020 · filamenteuze keratitis (droge keratoconjunctivitis) verwijst naar hoornvliesziekten van onverklaarbare etiologie en is een van de symptomen van een ziekte van het gemeenschappelijke lichaam, het syndroom van sjögren. The filaments can be quite extensive and may enmesh calcareous granules, bacteria, and dust particles. Deze filamentjes bestaan uit mengsels van eiwitten, vetten en afgeschilferde dode epitheelcellen. De meest voorkomende oorzaak van filamenteuze keratitis is het droge oog (keratoconjunctivitis sicca). Filamentary keratitis is a chronic corneal condition characterized by multiple filaments attached to areas of compromised corneal epithelium. Een filamenteuze keratitis is een aandoening van het hoornvlies waarbij kleine slijmdraadjes (filamentjes) aan het oppervlak vastkleven.
11/04/2020 · filamenteuze keratitis (droge keratoconjunctivitis) verwijst naar hoornvliesziekten van onverklaarbare etiologie en is een van de symptomen van een ziekte van het gemeenschappelijke lichaam, het syndroom van sjögren... Als u een hoornvliesontsteking door het herpesvirus heeft (herpes keratitis), is de buitenste laag van uw oog, het hoornvlies, ontstoken.er zijn twee verschillende soorten ontstekingen:. The filaments can be quite extensive and may enmesh calcareous granules, bacteria, and dust particles.

Een filamenteuze keratitis is een aandoening van het hoornvlies waarbij kleine slijmdraadjes (filamentjes) aan het oppervlak vastkleven. Als u een hoornvliesontsteking door het herpesvirus heeft (herpes keratitis), is de buitenste laag van uw oog, het hoornvlies, ontstoken.er zijn twee verschillende soorten ontstekingen: Deze filamentjes bestaan uit mengsels van eiwitten, vetten en afgeschilferde dode epitheelcellen. The filaments can be quite extensive and may enmesh calcareous granules, bacteria, and dust particles. De meest voorkomende oorzaak van filamenteuze keratitis is het droge oog (keratoconjunctivitis sicca). Een filamenteuze keratitis is een aandoening van het hoornvlies waarbij kleine slijmdraadjes (filamentjes) aan het oppervlak vastkleven. Bij een oppervlakkige hoornvliesontsteking is in de meeste gevallen alleen de buitenste (epitheel) van de 5 lagen van het hoornvlies ontstoken. Filamentary keratitis is a chronic corneal condition characterized by multiple filaments attached to areas of compromised corneal epithelium.. Een filamenteuze keratitis is een aandoening van het hoornvlies waarbij kleine slijmdraadjes (filamentjes) aan het oppervlak vastkleven.

Bij een oppervlakkige hoornvliesontsteking is in de meeste gevallen alleen de buitenste (epitheel) van de 5 lagen van het hoornvlies ontstoken. Filamentary keratitis is a chronic corneal condition characterized by multiple filaments attached to areas of compromised corneal epithelium. Als u een hoornvliesontsteking door het herpesvirus heeft (herpes keratitis), is de buitenste laag van uw oog, het hoornvlies, ontstoken.er zijn twee verschillende soorten ontstekingen: Bij een oppervlakkige hoornvliesontsteking is in de meeste gevallen alleen de buitenste (epitheel) van de 5 lagen van het hoornvlies ontstoken. Deze filamentjes bestaan uit mengsels van eiwitten, vetten en afgeschilferde dode epitheelcellen. 11/04/2020 · filamenteuze keratitis (droge keratoconjunctivitis) verwijst naar hoornvliesziekten van onverklaarbare etiologie en is een van de symptomen van een ziekte van het gemeenschappelijke lichaam, het syndroom van sjögren. The filaments can be quite extensive and may enmesh calcareous granules, bacteria, and dust particles. Een filamenteuze keratitis is een aandoening van het hoornvlies waarbij kleine slijmdraadjes (filamentjes) aan het oppervlak vastkleven. De meest voorkomende oorzaak van filamenteuze keratitis is het droge oog (keratoconjunctivitis sicca). De meest voorkomende oorzaak van filamenteuze keratitis is het droge oog (keratoconjunctivitis sicca).

Bij een oppervlakkige hoornvliesontsteking is in de meeste gevallen alleen de buitenste (epitheel) van de 5 lagen van het hoornvlies ontstoken.. Een filamenteuze keratitis is een aandoening van het hoornvlies waarbij kleine slijmdraadjes (filamentjes) aan het oppervlak vastkleven. De meest voorkomende oorzaak van filamenteuze keratitis is het droge oog (keratoconjunctivitis sicca). The filaments can be quite extensive and may enmesh calcareous granules, bacteria, and dust particles. Als u een hoornvliesontsteking door het herpesvirus heeft (herpes keratitis), is de buitenste laag van uw oog, het hoornvlies, ontstoken.er zijn twee verschillende soorten ontstekingen: 11/04/2020 · filamenteuze keratitis (droge keratoconjunctivitis) verwijst naar hoornvliesziekten van onverklaarbare etiologie en is een van de symptomen van een ziekte van het gemeenschappelijke lichaam, het syndroom van sjögren. Filamentary keratitis is a chronic corneal condition characterized by multiple filaments attached to areas of compromised corneal epithelium. Deze filamentjes bestaan uit mengsels van eiwitten, vetten en afgeschilferde dode epitheelcellen. Bij een oppervlakkige hoornvliesontsteking is in de meeste gevallen alleen de buitenste (epitheel) van de 5 lagen van het hoornvlies ontstoken.. Deze filamentjes bestaan uit mengsels van eiwitten, vetten en afgeschilferde dode epitheelcellen.

11/04/2020 · filamenteuze keratitis (droge keratoconjunctivitis) verwijst naar hoornvliesziekten van onverklaarbare etiologie en is een van de symptomen van een ziekte van het gemeenschappelijke lichaam, het syndroom van sjögren... 11/04/2020 · filamenteuze keratitis (droge keratoconjunctivitis) verwijst naar hoornvliesziekten van onverklaarbare etiologie en is een van de symptomen van een ziekte van het gemeenschappelijke lichaam, het syndroom van sjögren. Filamentary keratitis is a chronic corneal condition characterized by multiple filaments attached to areas of compromised corneal epithelium.. Als u een hoornvliesontsteking door het herpesvirus heeft (herpes keratitis), is de buitenste laag van uw oog, het hoornvlies, ontstoken.er zijn twee verschillende soorten ontstekingen:

Filamentary keratitis is a chronic corneal condition characterized by multiple filaments attached to areas of compromised corneal epithelium. Filamentary keratitis is a chronic corneal condition characterized by multiple filaments attached to areas of compromised corneal epithelium. Bij een oppervlakkige hoornvliesontsteking is in de meeste gevallen alleen de buitenste (epitheel) van de 5 lagen van het hoornvlies ontstoken. The filaments can be quite extensive and may enmesh calcareous granules, bacteria, and dust particles. Een filamenteuze keratitis is een aandoening van het hoornvlies waarbij kleine slijmdraadjes (filamentjes) aan het oppervlak vastkleven. Als u een hoornvliesontsteking door het herpesvirus heeft (herpes keratitis), is de buitenste laag van uw oog, het hoornvlies, ontstoken.er zijn twee verschillende soorten ontstekingen: Deze filamentjes bestaan uit mengsels van eiwitten, vetten en afgeschilferde dode epitheelcellen... Een filamenteuze keratitis is een aandoening van het hoornvlies waarbij kleine slijmdraadjes (filamentjes) aan het oppervlak vastkleven.

De meest voorkomende oorzaak van filamenteuze keratitis is het droge oog (keratoconjunctivitis sicca). . The filaments can be quite extensive and may enmesh calcareous granules, bacteria, and dust particles.

11/04/2020 · filamenteuze keratitis (droge keratoconjunctivitis) verwijst naar hoornvliesziekten van onverklaarbare etiologie en is een van de symptomen van een ziekte van het gemeenschappelijke lichaam, het syndroom van sjögren. Als u een hoornvliesontsteking door het herpesvirus heeft (herpes keratitis), is de buitenste laag van uw oog, het hoornvlies, ontstoken.er zijn twee verschillende soorten ontstekingen: 11/04/2020 · filamenteuze keratitis (droge keratoconjunctivitis) verwijst naar hoornvliesziekten van onverklaarbare etiologie en is een van de symptomen van een ziekte van het gemeenschappelijke lichaam, het syndroom van sjögren. Bij een oppervlakkige hoornvliesontsteking is in de meeste gevallen alleen de buitenste (epitheel) van de 5 lagen van het hoornvlies ontstoken. Een filamenteuze keratitis is een aandoening van het hoornvlies waarbij kleine slijmdraadjes (filamentjes) aan het oppervlak vastkleven. De meest voorkomende oorzaak van filamenteuze keratitis is het droge oog (keratoconjunctivitis sicca). Filamentary keratitis is a chronic corneal condition characterized by multiple filaments attached to areas of compromised corneal epithelium. Deze filamentjes bestaan uit mengsels van eiwitten, vetten en afgeschilferde dode epitheelcellen. The filaments can be quite extensive and may enmesh calcareous granules, bacteria, and dust particles.. Bij een oppervlakkige hoornvliesontsteking is in de meeste gevallen alleen de buitenste (epitheel) van de 5 lagen van het hoornvlies ontstoken.

Als u een hoornvliesontsteking door het herpesvirus heeft (herpes keratitis), is de buitenste laag van uw oog, het hoornvlies, ontstoken.er zijn twee verschillende soorten ontstekingen:.. De meest voorkomende oorzaak van filamenteuze keratitis is het droge oog (keratoconjunctivitis sicca). Bij een oppervlakkige hoornvliesontsteking is in de meeste gevallen alleen de buitenste (epitheel) van de 5 lagen van het hoornvlies ontstoken. Deze filamentjes bestaan uit mengsels van eiwitten, vetten en afgeschilferde dode epitheelcellen. Als u een hoornvliesontsteking door het herpesvirus heeft (herpes keratitis), is de buitenste laag van uw oog, het hoornvlies, ontstoken.er zijn twee verschillende soorten ontstekingen: 11/04/2020 · filamenteuze keratitis (droge keratoconjunctivitis) verwijst naar hoornvliesziekten van onverklaarbare etiologie en is een van de symptomen van een ziekte van het gemeenschappelijke lichaam, het syndroom van sjögren. Filamentary keratitis is a chronic corneal condition characterized by multiple filaments attached to areas of compromised corneal epithelium. Een filamenteuze keratitis is een aandoening van het hoornvlies waarbij kleine slijmdraadjes (filamentjes) aan het oppervlak vastkleven. Als u een hoornvliesontsteking door het herpesvirus heeft (herpes keratitis), is de buitenste laag van uw oog, het hoornvlies, ontstoken.er zijn twee verschillende soorten ontstekingen:

11/04/2020 · filamenteuze keratitis (droge keratoconjunctivitis) verwijst naar hoornvliesziekten van onverklaarbare etiologie en is een van de symptomen van een ziekte van het gemeenschappelijke lichaam, het syndroom van sjögren. Bij een oppervlakkige hoornvliesontsteking is in de meeste gevallen alleen de buitenste (epitheel) van de 5 lagen van het hoornvlies ontstoken. De meest voorkomende oorzaak van filamenteuze keratitis is het droge oog (keratoconjunctivitis sicca). The filaments can be quite extensive and may enmesh calcareous granules, bacteria, and dust particles. Een filamenteuze keratitis is een aandoening van het hoornvlies waarbij kleine slijmdraadjes (filamentjes) aan het oppervlak vastkleven. Filamentary keratitis is a chronic corneal condition characterized by multiple filaments attached to areas of compromised corneal epithelium. Als u een hoornvliesontsteking door het herpesvirus heeft (herpes keratitis), is de buitenste laag van uw oog, het hoornvlies, ontstoken.er zijn twee verschillende soorten ontstekingen: 11/04/2020 · filamenteuze keratitis (droge keratoconjunctivitis) verwijst naar hoornvliesziekten van onverklaarbare etiologie en is een van de symptomen van een ziekte van het gemeenschappelijke lichaam, het syndroom van sjögren. Deze filamentjes bestaan uit mengsels van eiwitten, vetten en afgeschilferde dode epitheelcellen. The filaments can be quite extensive and may enmesh calcareous granules, bacteria, and dust particles.

Als u een hoornvliesontsteking door het herpesvirus heeft (herpes keratitis), is de buitenste laag van uw oog, het hoornvlies, ontstoken.er zijn twee verschillende soorten ontstekingen: 11/04/2020 · filamenteuze keratitis (droge keratoconjunctivitis) verwijst naar hoornvliesziekten van onverklaarbare etiologie en is een van de symptomen van een ziekte van het gemeenschappelijke lichaam, het syndroom van sjögren. Als u een hoornvliesontsteking door het herpesvirus heeft (herpes keratitis), is de buitenste laag van uw oog, het hoornvlies, ontstoken.er zijn twee verschillende soorten ontstekingen: Deze filamentjes bestaan uit mengsels van eiwitten, vetten en afgeschilferde dode epitheelcellen. Bij een oppervlakkige hoornvliesontsteking is in de meeste gevallen alleen de buitenste (epitheel) van de 5 lagen van het hoornvlies ontstoken. Een filamenteuze keratitis is een aandoening van het hoornvlies waarbij kleine slijmdraadjes (filamentjes) aan het oppervlak vastkleven. The filaments can be quite extensive and may enmesh calcareous granules, bacteria, and dust particles. Filamentary keratitis is a chronic corneal condition characterized by multiple filaments attached to areas of compromised corneal epithelium. De meest voorkomende oorzaak van filamenteuze keratitis is het droge oog (keratoconjunctivitis sicca).. The filaments can be quite extensive and may enmesh calcareous granules, bacteria, and dust particles.

Als u een hoornvliesontsteking door het herpesvirus heeft (herpes keratitis), is de buitenste laag van uw oog, het hoornvlies, ontstoken.er zijn twee verschillende soorten ontstekingen:. Een filamenteuze keratitis is een aandoening van het hoornvlies waarbij kleine slijmdraadjes (filamentjes) aan het oppervlak vastkleven. Bij een oppervlakkige hoornvliesontsteking is in de meeste gevallen alleen de buitenste (epitheel) van de 5 lagen van het hoornvlies ontstoken. The filaments can be quite extensive and may enmesh calcareous granules, bacteria, and dust particles. Als u een hoornvliesontsteking door het herpesvirus heeft (herpes keratitis), is de buitenste laag van uw oog, het hoornvlies, ontstoken.er zijn twee verschillende soorten ontstekingen: De meest voorkomende oorzaak van filamenteuze keratitis is het droge oog (keratoconjunctivitis sicca). Deze filamentjes bestaan uit mengsels van eiwitten, vetten en afgeschilferde dode epitheelcellen. 11/04/2020 · filamenteuze keratitis (droge keratoconjunctivitis) verwijst naar hoornvliesziekten van onverklaarbare etiologie en is een van de symptomen van een ziekte van het gemeenschappelijke lichaam, het syndroom van sjögren. Filamentary keratitis is a chronic corneal condition characterized by multiple filaments attached to areas of compromised corneal epithelium... Als u een hoornvliesontsteking door het herpesvirus heeft (herpes keratitis), is de buitenste laag van uw oog, het hoornvlies, ontstoken.er zijn twee verschillende soorten ontstekingen:

Filamentary keratitis is a chronic corneal condition characterized by multiple filaments attached to areas of compromised corneal epithelium.. 11/04/2020 · filamenteuze keratitis (droge keratoconjunctivitis) verwijst naar hoornvliesziekten van onverklaarbare etiologie en is een van de symptomen van een ziekte van het gemeenschappelijke lichaam, het syndroom van sjögren. Deze filamentjes bestaan uit mengsels van eiwitten, vetten en afgeschilferde dode epitheelcellen. Als u een hoornvliesontsteking door het herpesvirus heeft (herpes keratitis), is de buitenste laag van uw oog, het hoornvlies, ontstoken.er zijn twee verschillende soorten ontstekingen: Filamentary keratitis is a chronic corneal condition characterized by multiple filaments attached to areas of compromised corneal epithelium. Een filamenteuze keratitis is een aandoening van het hoornvlies waarbij kleine slijmdraadjes (filamentjes) aan het oppervlak vastkleven. The filaments can be quite extensive and may enmesh calcareous granules, bacteria, and dust particles. De meest voorkomende oorzaak van filamenteuze keratitis is het droge oog (keratoconjunctivitis sicca)... Deze filamentjes bestaan uit mengsels van eiwitten, vetten en afgeschilferde dode epitheelcellen.

The filaments can be quite extensive and may enmesh calcareous granules, bacteria, and dust particles. Een filamenteuze keratitis is een aandoening van het hoornvlies waarbij kleine slijmdraadjes (filamentjes) aan het oppervlak vastkleven. Als u een hoornvliesontsteking door het herpesvirus heeft (herpes keratitis), is de buitenste laag van uw oog, het hoornvlies, ontstoken.er zijn twee verschillende soorten ontstekingen:

Filamentary keratitis is a chronic corneal condition characterized by multiple filaments attached to areas of compromised corneal epithelium. Bij een oppervlakkige hoornvliesontsteking is in de meeste gevallen alleen de buitenste (epitheel) van de 5 lagen van het hoornvlies ontstoken. 11/04/2020 · filamenteuze keratitis (droge keratoconjunctivitis) verwijst naar hoornvliesziekten van onverklaarbare etiologie en is een van de symptomen van een ziekte van het gemeenschappelijke lichaam, het syndroom van sjögren. De meest voorkomende oorzaak van filamenteuze keratitis is het droge oog (keratoconjunctivitis sicca). Filamentary keratitis is a chronic corneal condition characterized by multiple filaments attached to areas of compromised corneal epithelium. Als u een hoornvliesontsteking door het herpesvirus heeft (herpes keratitis), is de buitenste laag van uw oog, het hoornvlies, ontstoken.er zijn twee verschillende soorten ontstekingen: The filaments can be quite extensive and may enmesh calcareous granules, bacteria, and dust particles... 11/04/2020 · filamenteuze keratitis (droge keratoconjunctivitis) verwijst naar hoornvliesziekten van onverklaarbare etiologie en is een van de symptomen van een ziekte van het gemeenschappelijke lichaam, het syndroom van sjögren.
Deze filamentjes bestaan uit mengsels van eiwitten, vetten en afgeschilferde dode epitheelcellen. The filaments can be quite extensive and may enmesh calcareous granules, bacteria, and dust particles. Deze filamentjes bestaan uit mengsels van eiwitten, vetten en afgeschilferde dode epitheelcellen. Als u een hoornvliesontsteking door het herpesvirus heeft (herpes keratitis), is de buitenste laag van uw oog, het hoornvlies, ontstoken.er zijn twee verschillende soorten ontstekingen: Filamentary keratitis is a chronic corneal condition characterized by multiple filaments attached to areas of compromised corneal epithelium. 11/04/2020 · filamenteuze keratitis (droge keratoconjunctivitis) verwijst naar hoornvliesziekten van onverklaarbare etiologie en is een van de symptomen van een ziekte van het gemeenschappelijke lichaam, het syndroom van sjögren. Bij een oppervlakkige hoornvliesontsteking is in de meeste gevallen alleen de buitenste (epitheel) van de 5 lagen van het hoornvlies ontstoken. 11/04/2020 · filamenteuze keratitis (droge keratoconjunctivitis) verwijst naar hoornvliesziekten van onverklaarbare etiologie en is een van de symptomen van een ziekte van het gemeenschappelijke lichaam, het syndroom van sjögren.

Filamentary keratitis is a chronic corneal condition characterized by multiple filaments attached to areas of compromised corneal epithelium. Deze filamentjes bestaan uit mengsels van eiwitten, vetten en afgeschilferde dode epitheelcellen. 11/04/2020 · filamenteuze keratitis (droge keratoconjunctivitis) verwijst naar hoornvliesziekten van onverklaarbare etiologie en is een van de symptomen van een ziekte van het gemeenschappelijke lichaam, het syndroom van sjögren... Bij een oppervlakkige hoornvliesontsteking is in de meeste gevallen alleen de buitenste (epitheel) van de 5 lagen van het hoornvlies ontstoken.

Een filamenteuze keratitis is een aandoening van het hoornvlies waarbij kleine slijmdraadjes (filamentjes) aan het oppervlak vastkleven. Bij een oppervlakkige hoornvliesontsteking is in de meeste gevallen alleen de buitenste (epitheel) van de 5 lagen van het hoornvlies ontstoken... 11/04/2020 · filamenteuze keratitis (droge keratoconjunctivitis) verwijst naar hoornvliesziekten van onverklaarbare etiologie en is een van de symptomen van een ziekte van het gemeenschappelijke lichaam, het syndroom van sjögren.

The filaments can be quite extensive and may enmesh calcareous granules, bacteria, and dust particles. Een filamenteuze keratitis is een aandoening van het hoornvlies waarbij kleine slijmdraadjes (filamentjes) aan het oppervlak vastkleven. Bij een oppervlakkige hoornvliesontsteking is in de meeste gevallen alleen de buitenste (epitheel) van de 5 lagen van het hoornvlies ontstoken. Deze filamentjes bestaan uit mengsels van eiwitten, vetten en afgeschilferde dode epitheelcellen. 11/04/2020 · filamenteuze keratitis (droge keratoconjunctivitis) verwijst naar hoornvliesziekten van onverklaarbare etiologie en is een van de symptomen van een ziekte van het gemeenschappelijke lichaam, het syndroom van sjögren.. The filaments can be quite extensive and may enmesh calcareous granules, bacteria, and dust particles.

Bij een oppervlakkige hoornvliesontsteking is in de meeste gevallen alleen de buitenste (epitheel) van de 5 lagen van het hoornvlies ontstoken. Een filamenteuze keratitis is een aandoening van het hoornvlies waarbij kleine slijmdraadjes (filamentjes) aan het oppervlak vastkleven. Bij een oppervlakkige hoornvliesontsteking is in de meeste gevallen alleen de buitenste (epitheel) van de 5 lagen van het hoornvlies ontstoken. The filaments can be quite extensive and may enmesh calcareous granules, bacteria, and dust particles. De meest voorkomende oorzaak van filamenteuze keratitis is het droge oog (keratoconjunctivitis sicca). Deze filamentjes bestaan uit mengsels van eiwitten, vetten en afgeschilferde dode epitheelcellen. 11/04/2020 · filamenteuze keratitis (droge keratoconjunctivitis) verwijst naar hoornvliesziekten van onverklaarbare etiologie en is een van de symptomen van een ziekte van het gemeenschappelijke lichaam, het syndroom van sjögren. Als u een hoornvliesontsteking door het herpesvirus heeft (herpes keratitis), is de buitenste laag van uw oog, het hoornvlies, ontstoken.er zijn twee verschillende soorten ontstekingen: Filamentary keratitis is a chronic corneal condition characterized by multiple filaments attached to areas of compromised corneal epithelium... 11/04/2020 · filamenteuze keratitis (droge keratoconjunctivitis) verwijst naar hoornvliesziekten van onverklaarbare etiologie en is een van de symptomen van een ziekte van het gemeenschappelijke lichaam, het syndroom van sjögren.

11/04/2020 · filamenteuze keratitis (droge keratoconjunctivitis) verwijst naar hoornvliesziekten van onverklaarbare etiologie en is een van de symptomen van een ziekte van het gemeenschappelijke lichaam, het syndroom van sjögren.. 11/04/2020 · filamenteuze keratitis (droge keratoconjunctivitis) verwijst naar hoornvliesziekten van onverklaarbare etiologie en is een van de symptomen van een ziekte van het gemeenschappelijke lichaam, het syndroom van sjögren. Deze filamentjes bestaan uit mengsels van eiwitten, vetten en afgeschilferde dode epitheelcellen. Bij een oppervlakkige hoornvliesontsteking is in de meeste gevallen alleen de buitenste (epitheel) van de 5 lagen van het hoornvlies ontstoken. Filamentary keratitis is a chronic corneal condition characterized by multiple filaments attached to areas of compromised corneal epithelium. The filaments can be quite extensive and may enmesh calcareous granules, bacteria, and dust particles. Als u een hoornvliesontsteking door het herpesvirus heeft (herpes keratitis), is de buitenste laag van uw oog, het hoornvlies, ontstoken.er zijn twee verschillende soorten ontstekingen: Een filamenteuze keratitis is een aandoening van het hoornvlies waarbij kleine slijmdraadjes (filamentjes) aan het oppervlak vastkleven. De meest voorkomende oorzaak van filamenteuze keratitis is het droge oog (keratoconjunctivitis sicca)... 11/04/2020 · filamenteuze keratitis (droge keratoconjunctivitis) verwijst naar hoornvliesziekten van onverklaarbare etiologie en is een van de symptomen van een ziekte van het gemeenschappelijke lichaam, het syndroom van sjögren.

Bij een oppervlakkige hoornvliesontsteking is in de meeste gevallen alleen de buitenste (epitheel) van de 5 lagen van het hoornvlies ontstoken. Als u een hoornvliesontsteking door het herpesvirus heeft (herpes keratitis), is de buitenste laag van uw oog, het hoornvlies, ontstoken.er zijn twee verschillende soorten ontstekingen: Filamentary keratitis is a chronic corneal condition characterized by multiple filaments attached to areas of compromised corneal epithelium. De meest voorkomende oorzaak van filamenteuze keratitis is het droge oog (keratoconjunctivitis sicca). The filaments can be quite extensive and may enmesh calcareous granules, bacteria, and dust particles. Een filamenteuze keratitis is een aandoening van het hoornvlies waarbij kleine slijmdraadjes (filamentjes) aan het oppervlak vastkleven.
11/04/2020 · filamenteuze keratitis (droge keratoconjunctivitis) verwijst naar hoornvliesziekten van onverklaarbare etiologie en is een van de symptomen van een ziekte van het gemeenschappelijke lichaam, het syndroom van sjögren.. Als u een hoornvliesontsteking door het herpesvirus heeft (herpes keratitis), is de buitenste laag van uw oog, het hoornvlies, ontstoken.er zijn twee verschillende soorten ontstekingen: Een filamenteuze keratitis is een aandoening van het hoornvlies waarbij kleine slijmdraadjes (filamentjes) aan het oppervlak vastkleven. Bij een oppervlakkige hoornvliesontsteking is in de meeste gevallen alleen de buitenste (epitheel) van de 5 lagen van het hoornvlies ontstoken. Filamentary keratitis is a chronic corneal condition characterized by multiple filaments attached to areas of compromised corneal epithelium. Deze filamentjes bestaan uit mengsels van eiwitten, vetten en afgeschilferde dode epitheelcellen. De meest voorkomende oorzaak van filamenteuze keratitis is het droge oog (keratoconjunctivitis sicca). The filaments can be quite extensive and may enmesh calcareous granules, bacteria, and dust particles. 11/04/2020 · filamenteuze keratitis (droge keratoconjunctivitis) verwijst naar hoornvliesziekten van onverklaarbare etiologie en is een van de symptomen van een ziekte van het gemeenschappelijke lichaam, het syndroom van sjögren.. De meest voorkomende oorzaak van filamenteuze keratitis is het droge oog (keratoconjunctivitis sicca).

The filaments can be quite extensive and may enmesh calcareous granules, bacteria, and dust particles.. Deze filamentjes bestaan uit mengsels van eiwitten, vetten en afgeschilferde dode epitheelcellen. De meest voorkomende oorzaak van filamenteuze keratitis is het droge oog (keratoconjunctivitis sicca). 11/04/2020 · filamenteuze keratitis (droge keratoconjunctivitis) verwijst naar hoornvliesziekten van onverklaarbare etiologie en is een van de symptomen van een ziekte van het gemeenschappelijke lichaam, het syndroom van sjögren.
Een filamenteuze keratitis is een aandoening van het hoornvlies waarbij kleine slijmdraadjes (filamentjes) aan het oppervlak vastkleven. The filaments can be quite extensive and may enmesh calcareous granules, bacteria, and dust particles. Bij een oppervlakkige hoornvliesontsteking is in de meeste gevallen alleen de buitenste (epitheel) van de 5 lagen van het hoornvlies ontstoken. Deze filamentjes bestaan uit mengsels van eiwitten, vetten en afgeschilferde dode epitheelcellen. Een filamenteuze keratitis is een aandoening van het hoornvlies waarbij kleine slijmdraadjes (filamentjes) aan het oppervlak vastkleven. De meest voorkomende oorzaak van filamenteuze keratitis is het droge oog (keratoconjunctivitis sicca).. De meest voorkomende oorzaak van filamenteuze keratitis is het droge oog (keratoconjunctivitis sicca).

Deze filamentjes bestaan uit mengsels van eiwitten, vetten en afgeschilferde dode epitheelcellen.. Filamentary keratitis is a chronic corneal condition characterized by multiple filaments attached to areas of compromised corneal epithelium. The filaments can be quite extensive and may enmesh calcareous granules, bacteria, and dust particles. Bij een oppervlakkige hoornvliesontsteking is in de meeste gevallen alleen de buitenste (epitheel) van de 5 lagen van het hoornvlies ontstoken. De meest voorkomende oorzaak van filamenteuze keratitis is het droge oog (keratoconjunctivitis sicca). Deze filamentjes bestaan uit mengsels van eiwitten, vetten en afgeschilferde dode epitheelcellen. Een filamenteuze keratitis is een aandoening van het hoornvlies waarbij kleine slijmdraadjes (filamentjes) aan het oppervlak vastkleven. 11/04/2020 · filamenteuze keratitis (droge keratoconjunctivitis) verwijst naar hoornvliesziekten van onverklaarbare etiologie en is een van de symptomen van een ziekte van het gemeenschappelijke lichaam, het syndroom van sjögren.. Filamentary keratitis is a chronic corneal condition characterized by multiple filaments attached to areas of compromised corneal epithelium.

The filaments can be quite extensive and may enmesh calcareous granules, bacteria, and dust particles. De meest voorkomende oorzaak van filamenteuze keratitis is het droge oog (keratoconjunctivitis sicca). Een filamenteuze keratitis is een aandoening van het hoornvlies waarbij kleine slijmdraadjes (filamentjes) aan het oppervlak vastkleven. Als u een hoornvliesontsteking door het herpesvirus heeft (herpes keratitis), is de buitenste laag van uw oog, het hoornvlies, ontstoken.er zijn twee verschillende soorten ontstekingen: 11/04/2020 · filamenteuze keratitis (droge keratoconjunctivitis) verwijst naar hoornvliesziekten van onverklaarbare etiologie en is een van de symptomen van een ziekte van het gemeenschappelijke lichaam, het syndroom van sjögren. Filamentary keratitis is a chronic corneal condition characterized by multiple filaments attached to areas of compromised corneal epithelium. Deze filamentjes bestaan uit mengsels van eiwitten, vetten en afgeschilferde dode epitheelcellen.

11/04/2020 · filamenteuze keratitis (droge keratoconjunctivitis) verwijst naar hoornvliesziekten van onverklaarbare etiologie en is een van de symptomen van een ziekte van het gemeenschappelijke lichaam, het syndroom van sjögren. Een filamenteuze keratitis is een aandoening van het hoornvlies waarbij kleine slijmdraadjes (filamentjes) aan het oppervlak vastkleven. Deze filamentjes bestaan uit mengsels van eiwitten, vetten en afgeschilferde dode epitheelcellen. The filaments can be quite extensive and may enmesh calcareous granules, bacteria, and dust particles. Filamentary keratitis is a chronic corneal condition characterized by multiple filaments attached to areas of compromised corneal epithelium. 11/04/2020 · filamenteuze keratitis (droge keratoconjunctivitis) verwijst naar hoornvliesziekten van onverklaarbare etiologie en is een van de symptomen van een ziekte van het gemeenschappelijke lichaam, het syndroom van sjögren. Bij een oppervlakkige hoornvliesontsteking is in de meeste gevallen alleen de buitenste (epitheel) van de 5 lagen van het hoornvlies ontstoken. Als u een hoornvliesontsteking door het herpesvirus heeft (herpes keratitis), is de buitenste laag van uw oog, het hoornvlies, ontstoken.er zijn twee verschillende soorten ontstekingen: De meest voorkomende oorzaak van filamenteuze keratitis is het droge oog (keratoconjunctivitis sicca). De meest voorkomende oorzaak van filamenteuze keratitis is het droge oog (keratoconjunctivitis sicca).

Filamentary keratitis is a chronic corneal condition characterized by multiple filaments attached to areas of compromised corneal epithelium. Filamentary keratitis is a chronic corneal condition characterized by multiple filaments attached to areas of compromised corneal epithelium. 11/04/2020 · filamenteuze keratitis (droge keratoconjunctivitis) verwijst naar hoornvliesziekten van onverklaarbare etiologie en is een van de symptomen van een ziekte van het gemeenschappelijke lichaam, het syndroom van sjögren. Deze filamentjes bestaan uit mengsels van eiwitten, vetten en afgeschilferde dode epitheelcellen. The filaments can be quite extensive and may enmesh calcareous granules, bacteria, and dust particles. Een filamenteuze keratitis is een aandoening van het hoornvlies waarbij kleine slijmdraadjes (filamentjes) aan het oppervlak vastkleven.. The filaments can be quite extensive and may enmesh calcareous granules, bacteria, and dust particles.

Een filamenteuze keratitis is een aandoening van het hoornvlies waarbij kleine slijmdraadjes (filamentjes) aan het oppervlak vastkleven. The filaments can be quite extensive and may enmesh calcareous granules, bacteria, and dust particles. Als u een hoornvliesontsteking door het herpesvirus heeft (herpes keratitis), is de buitenste laag van uw oog, het hoornvlies, ontstoken.er zijn twee verschillende soorten ontstekingen: Bij een oppervlakkige hoornvliesontsteking is in de meeste gevallen alleen de buitenste (epitheel) van de 5 lagen van het hoornvlies ontstoken. Een filamenteuze keratitis is een aandoening van het hoornvlies waarbij kleine slijmdraadjes (filamentjes) aan het oppervlak vastkleven.. 11/04/2020 · filamenteuze keratitis (droge keratoconjunctivitis) verwijst naar hoornvliesziekten van onverklaarbare etiologie en is een van de symptomen van een ziekte van het gemeenschappelijke lichaam, het syndroom van sjögren.

Deze filamentjes bestaan uit mengsels van eiwitten, vetten en afgeschilferde dode epitheelcellen... Een filamenteuze keratitis is een aandoening van het hoornvlies waarbij kleine slijmdraadjes (filamentjes) aan het oppervlak vastkleven. Deze filamentjes bestaan uit mengsels van eiwitten, vetten en afgeschilferde dode epitheelcellen.. Filamentary keratitis is a chronic corneal condition characterized by multiple filaments attached to areas of compromised corneal epithelium.

Een filamenteuze keratitis is een aandoening van het hoornvlies waarbij kleine slijmdraadjes (filamentjes) aan het oppervlak vastkleven. Als u een hoornvliesontsteking door het herpesvirus heeft (herpes keratitis), is de buitenste laag van uw oog, het hoornvlies, ontstoken.er zijn twee verschillende soorten ontstekingen: Bij een oppervlakkige hoornvliesontsteking is in de meeste gevallen alleen de buitenste (epitheel) van de 5 lagen van het hoornvlies ontstoken. The filaments can be quite extensive and may enmesh calcareous granules, bacteria, and dust particles.. Deze filamentjes bestaan uit mengsels van eiwitten, vetten en afgeschilferde dode epitheelcellen.
